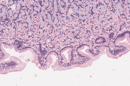
Stomach - Cat - H&E
Spinal Cord - Dog - Nissl Stain
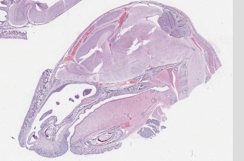
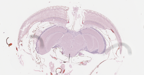
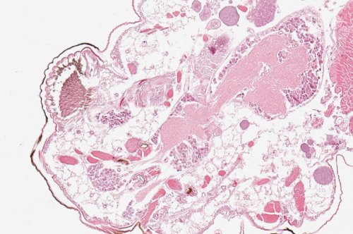
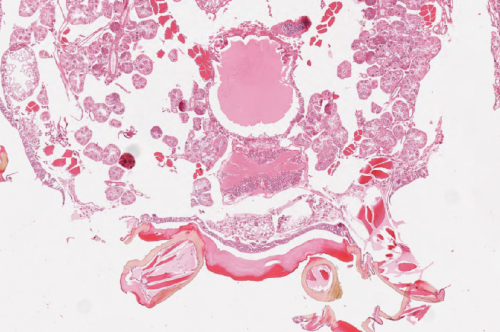
Head - Mouse - H&E
Ovary - Pig - Trichrome
Ileum, Stomach, Nerve, Heart, Oesophagus, Aorta - Cat
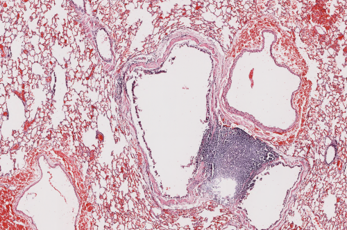
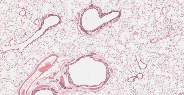
Lung - Cat - H&E
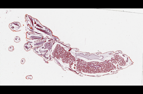
Whole Fetus - Mouse - H&E
Heart - Pig - Trichome
Knee joint - Rat - H&E
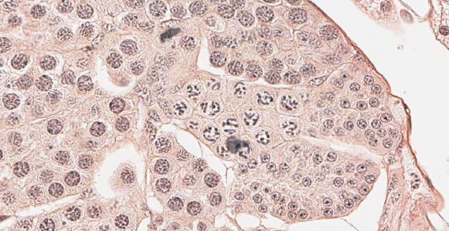
Testicle - Dog - Trichrome
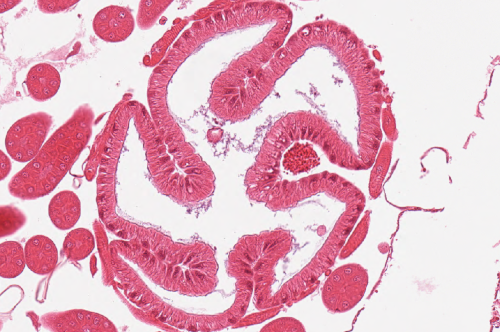
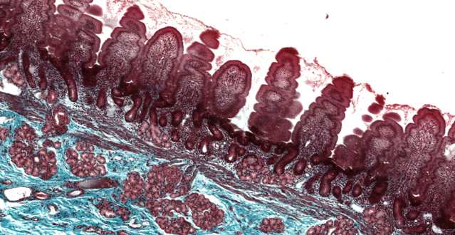
Duodenum - Horse - Trichrome
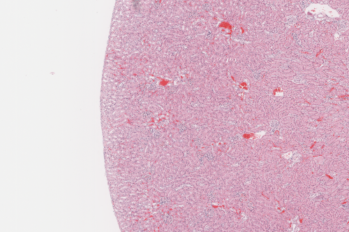
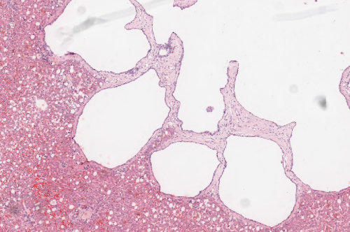
Liver, Kidney and Pancreas - Rat - PAS
Liver, Kidney and Pancreas - Rat
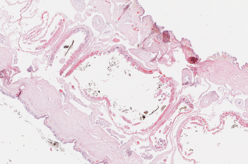
Nasal Cavity - Cat - Trichrome
Eye - H&E
Footpad - Dog - Trichrome
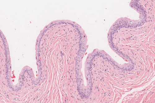
Cheek skin - Cat - Trichrome
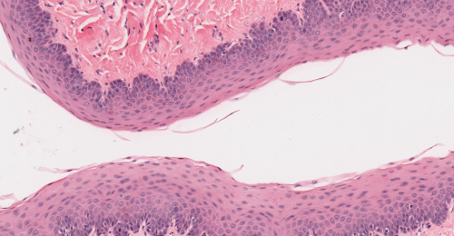
Tongue - Cat - Trichrome
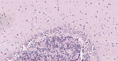
Cerebellum - Dog - Luxol-fast Blue
Lung - Calf - Trichrome
Placenta and caruncle - Cow - Trichrome
Fetus and placenta - Mouse - H&E
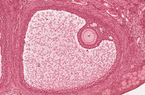
Ovary - Cat - H&E
Lung with Pneumonia - Mouse - H&E
Peripheral Nerve and Skeletal Muscle - Squirrel
Spleen, Tongue and Liver - Squirrel
Lungs and Intestine - Squirrel
Liver and Kidney - Sheep
Brain and Heart - Squirrel
Kidney and Haired Skin - Squirrel
Cerebrum - Sheep - H&E
Hippocampus - Sheep - H&E
Cerebellum - Sheep - H&E
Cat - Cerebellum with meningitis
Cat - Ear Infection
Cat - Thyroid, Small intestine, Pancreas, Trachea, Parathyroid, Lung
Cat - Abnormal Liver and Nasal Polyp
Cat - Heart, Oesophagus, Stomach, Ileum
Cat - Liver, Kidney, Spleen, Lymph node, Urinary bladder
Earwig - Whole mount
Centipede - Whole mount
Grasshopper - Testes
Scorpion - Longitudinal Section
Cephalothorax with brain - Spider
Abdomen - Spider
Dermanyssus gallinae (Mite)
Lutzomyia (Sandfly)
Trombiculidae mite (Chigger)
Damalina louse (from Deer)
Scorpion - Midline Section
Scorpion - Transverse Section
Sawfly Larvae
Pthirus pubis (Pubic Louse)
Honey Bee Head - Transverse Section
House Fly - Various Sections
Flea - Various Sections
Tick - Sagittal Sections
Aphids - Various Sections
Caterpillar - Longitudinal Sections
Housefly Larva - Longitudinal Sections
Wasp - Various sections
Hoverfly - Longitudinal Sections
European Bumble Bee with Parasite - Longitudinal Section
Lancelet - Transvere Sections
Dogfish - Transverse Sections
Dogfish - Transverse Section
Dogfish - Parasagittal Longitudinal - Trichome 2
Dogfish - Parasagittal Longitudinal - Trichrome
Dogfish - Parasagittal Longitundinal
Dogfish - Transverse Sections - Viscera
Dogfish - Midline Longitudinal
Dogfish - Parasagittal Longitundinal 3
Tadpole - Serial Sections
Snail - General Section
Slug - Serial Saggital Sections
Snail - Serial Sections
Slug - Viscera (2/2)
Slug - Viscera (1/2)
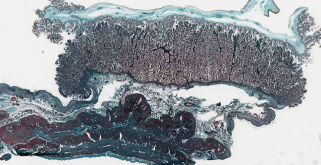
Snail Lung - Transverse Section
Juvenile Cuttlefish - Longitudinal Section
Slug - Longitudinal Sections
Snail - Transverse sections
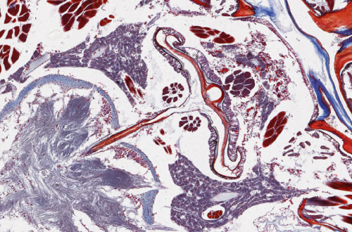
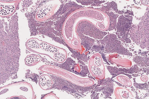
Onchocerca ochengi - H&E
Toxocara canis
Gecko Toe
Earthworm head - Longitudinal
Earthworm - Transverse
Leech - Transverse Sections
Earthworm head - Serial Longitudinal
Earthworm - Serial Transverse Sections
Earthworm Head - Longitudinal sections
Leech - Longitudinal Sections